Patienteninformation
Kieferorthopädie ist die Lehre vom Erkennen, Vermeiden und Behandeln von Dysgnathien. Eine Dysgnathie stellt eine Gebissanomalie dar und beinhaltet alle morphologischen und funktionellen Abweichungen.
Ein strahlendes Lächeln mit gleichmäßig schönen Zähnen kommt an!
Das Ergebnis unserer kieferorthopädischen Behandlung soll ein gesundes und ausgewogenes Kauorgan sein, dass seine Aufgaben erfüllt und gleichzeitig gut aussieht. Neben den Zähnen und dem Kiefer gehören auch das Kiefergelenk und die Kaumuskulatur dazu. Nur ein harmonisches Zusammenspiel aller beteiligter Strukturen ermöglicht eine störungsfreie und stabile Funktion des gesamten Kausystems.
Kieferorthopädie ist auch aus medizinischen Gründen wichtig!
- Zahnregulierungen schützen vor Zahnfleischerkrankungen und Karies. Ein funktionierendes Gebiss ohne Lücken, eng oder schief stehenden Zähnen sind weniger anfällig, da sie eine gründliche Zahnpflege und die Selbstreinigung durch den Speichel nicht beeinträchtigen.
- Sprechen, Atmen, Kauen und Abbeißen werden durch eine kieferorthopädische Behandlung positiv beeinflusst.
- Kieferorthopädie kann das Kiefergelenk entlasten, sodass sogar Verspannungen und Nackenschmerzen günstig beeinflusst werden.
Anamnesebogen
Wir bitten Sie die entsprechenden Anamnesebogen für Ihre Behandlung in unserer Praxis auszufüllen.


Beratung
Häufig erfolgt eine Überweisung vom Hauszahnarzt; grundsätzlich ist jedoch keine Überweisung notwendig, eine Beratung kann jederzeit unverbindlich durchgeführt werden. Das gilt sowohl für Kinder und Jugendliche als auch für Erwachsene.
Im ersten Beratungsgespräch wird die Notwendigkeit einer kieferorthopädischen Behandlung abgeklärt. Wir besprechen Ihr Anliegen und es erfolgt eine Untersuchung der Zähne, bei der wir uns einen ersten Überblick über die bestehenden Zahn- und Kieferfehlstellungen verschaffen. Auf Grundlage der so gewonnenen Informationen klären wir Sie über die Möglichkeiten, die Dauer und die ungefähr zu erwartenden Kosten einer kieferorthopädischen Behandlung auf.
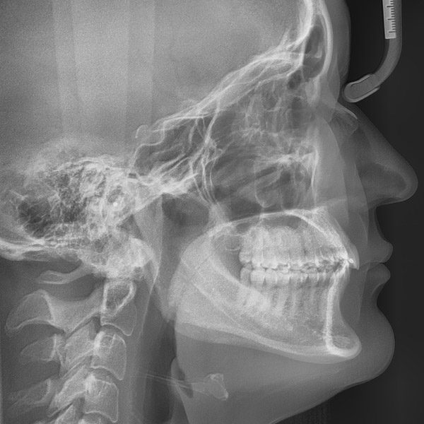
Kieferabformung und digitale Vermessung / Diagnostik
Kieferorthopädie ist Maßarbeit!
Für die genaue Planung der kieferorthopädischen Behandlung mit der Verankerung von Zähnen, zur Entscheidung über die Notwendigkeit zur Zahnentfernung sowie zur Prognose des vorhandenen Wachstums ist das Erstellen von
- Abformung zur Erstellung von dreidimensionalen Gipsmodellen
- Digitale Fotos vom Gesicht und den Zähnen
- Digitale Röntgenbilder von Zähnen und Kiefer erforderlich
Dabei setzen wir sowohl auf klassische und bewährte Methoden als auch moderne digitale diagnostische Verfahren ein.







Tipps zur Zahnpflege
- Nur gründliches und regelmäßiges Zähneputzen mit einer fluoridhaltigen Zahncreme nach jedem Essen kann vor Zahnverfärbungen und Karies schützen.
- Die Zahnbürste ist das wichtigste Hilfsmittel bei der Zahnreinigung. Die Bürste sollte spätestens alle drei Monate ausgetauscht und zu den Kontrollterminen mitgebracht werden.
- Die Zwischenraumzahnbürste ist zur Zahnreinigung bei einer festen Klammer zusätzlich erforderlich.
- Eine Munddusche erleichtert das Entfernen von groben Speiseresten. Sie ist aber kein Ersatz für die Zahnbürste.
- Wasser ist der ideale Durstlöscher. Zucker und Säure aus Limonade oder Fruchtsaft schädigt die Zähne.
- Möglichst wenig Zucker verzehren und Zuckerhaltiges nicht über den ganzen Tag verteilt essen oder trinken.
- Eine zahngesunde Ernährung
- Fluorid-Gel, 1x/Woche angewendet, macht den Zahn widerstandsfähiger gegen Karies.
- Intensive Mundhygienebetreuung bei Ihrem Zahnarzt
Notfälle (was tun, wenn es piekt?)
- Nach dem Einsetzen der festsitzenden Apparatur kann es vorübergehend aufgrund der Zahnbewegungen zu Schmerzen kommen. Sollten diese zu stark sein, kannst Du ein Schmerzmittel einnehmen. Am besten eignet sich dafür Paracetamol (bitte die Packungsbeilage zur Dosierung beachten!)
- In der Eingewöhnungsphase kann es zu Reizungen der Wange und Lippe kommen. Dann können die Bänder und Bracktes mit Schutzwachs abgedeckt werden.
- Bei störenden Bogenenden meldest Du dich bitte in der Praxis.
- Wenn sich ein Bracket, ein Band oder eine Feder löst, melde dich bitte in unserer Praxis.
- In seltenen Fällen löst sich ein Gummiring oder eine Drahtligatur. Sollte dies geschehen, vereinbare bitte einen zeitnahen Termin in unserer Praxis.



Sichern Sie sich jetzt einen Termin in unserer Praxis.
- 0 42 31 / 47 44
- team@kfopraxis-damrath.de
Sprechstunden
- Montag: 8.00 - 12.00 Uhr, 13.00 - 18.00 Uhr
- Dienstag: 8.00 - 12.00 Uhr, 13.00 - 18.00 Uhr
- Mittwoch: 8.00 - 12.00 Uhr, 13.00 - 17.00 Uhr
- Donnerstag: 8.00 - 12.00 Uhr, 13.00 - 18.00 Uhr
Hier finden Sie unsere Praxis in Verden.
-
Georgstr. 8
27283 Verden
